摸到腫塊千萬別輕忽!貓咪常見腫瘤之一是這個…

貓咪的皮膚型肥大細胞瘤(Feline Cutaneous Mast Cell Tumor, MCT)

貓咪的皮膚型肥大細胞瘤,是貓第二常見的皮膚腫瘤(僅次於基底細胞瘤),約佔所有貓皮膚腫瘤的 20% 左右。

MCT 可能為局部或多部位發生,好發於頭部、頸部,但也有機會出現在身體任何部位。外觀通常是小型、堅實、無毛、界線分明的真皮或皮下結節,顏色可能從白色到粉紅色。

大多數的貓咪皮膚型肥大細胞瘤,在完整切除後是可以被完整治癒的,但仍有少數貓為分化不良(Atypical / Poorly-differentiated / Pleomorphic)的肥大細胞瘤較具有侵襲性,這些貓咪就會需要進行完整分期檢查(Staging)、並且需要較大範圍的切除邊界,來確保腫瘤有被完整移除。

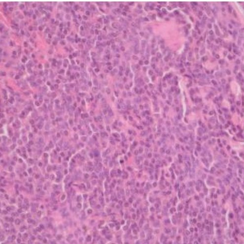
所幸,本篇的主角在我們進行細針穿刺(Fine Needle Aspiration)與細胞學檢查後,發現抹片下是充滿大量藍紫色顆粒的圓形細胞,為典型分化良好(Typical / Well-differentiated / Mastocytic)的皮膚型肥大細胞瘤,因此我們只需要沿著腫瘤外圍 0.5–1 公分的邊界切除即可。

後續病理切片的報告,也是如同我們術前的初步診斷,確診為皮膚型肥大細胞瘤,且手術邊界乾淨、未見腫瘤細胞出現。

最後提醒:

所有腫塊的切除,都必需進行病理切片檢查。除了請病理醫師診斷腫瘤的真實身份之外,另一個目的就是確認腫瘤是否已經完整切除乾淨,這對腫瘤疾病的預後至關重要。

所以,若是在術前沒有做細胞學檢查以及分級、分期評估,或是在溝通治療細節時您的獸醫師建議手術切除,但卻未安排病理切片檢查時,我們會建議您到第二家醫院或是有腫瘤專科獸醫師的醫院諮詢第二意見唷